17+ Iac Anatomy

It functions to provide mobility and stability to the head while connecting it to the.

17+ Iac Anatomy. This video is designed to support lecturers in the classroom and aid students in their. Learn everything about its anatomy and function now at kenhub!

Surgical Exposure Of The Internal Auditory Canal Through The Retrosigmoid Approach With Semicircular Canals Anatomical Preservation
Surgical Exposure Of The Internal Auditory Canal Through The Retrosigmoid Approach With Semicircular Canals Anatomical Preservation from www.scielo.br
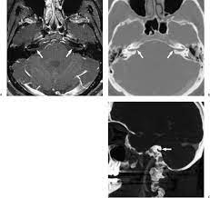
5 iac mri anatomy and search pattern : Choose from 500 different sets of flashcards about anatomy and physiology on quizlet. Animation illustrating the anatomy and workings of the human ear.

Symptoms can develop within the joint if the cartilage or bone gets damaged and/or.

Head and neck anatomy is important when considering pathology affecting the same area. Choose from 500 different sets of flashcards about anatomy and physiology on quizlet. Radiological anatomy is crucial for radiologists and forms the base for learning radiology. Tineke willems and marieke hazewinkel.