21+ Sagittal Prostate Mri Anatomy

Sequential axial images from above the level of the base to the level of the apex of the prostate.

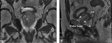
21+ Sagittal Prostate Mri Anatomy. From right to left iliac fossa including internal obturator muscle. Parallel to the base of urinary bladder).

Prostate Imaging
Prostate Imaging from www.aboutcancer.com
Strictly sagittal to the body axis. Prostate mri has become an increasingly frequent examination faced in daily radiological practice and is usually acquired as either multiparametric or biparametric mri of the prostate. The coronal view is from the top, showing the left and right sides of the gland.

• haste (axial, coronal, sagittal) • high resolution t2 (axial, coronal.

Anatomical changes during physiological voiding in men. The probe is angled from one side. The important role of magnetic resonance imaging (mri) in the anatomic evaluation, detection, and staging of prostate cancer is well established. Axial t1wi of pelvis 2.