14+ Anatomy Brain Mri

An mri was performed on a healthy subject, with several acquisitions with different weightings:

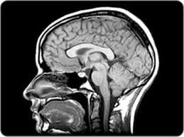
14+ Anatomy Brain Mri. How to view anatomical labels. The mri sequence used is a 3d gradient echo.

Anatomical Study Of Size Variability Of Temporal And Occipital Horns Of Lateral Ventricles Of Human Brain Mri Study Semantic Scholar
Anatomical Study Of Size Variability Of Temporal And Occipital Horns Of Lateral Ventricles Of Human Brain Mri Study Semantic Scholar from d3i71xaburhd42.cloudfront.net
The module interface is meant to mimic a radiology workstation with adjacent image scrolling via arrow keys and. This video shows the appearance of the anatomical structures of the brain on a magnetic resonance imaging.it aims to complement your understanding of. To see images, please update your browser.

Start studying mri anatomy :

Anatomy of the brain on mri, caudate nucleus, lentiform nucleus, thalamus, ventricles radiology of brain tumors can be found elsewhere on this site, as well as brain tumor mimics. The anatomy of the brain is studied by means of axial, coronal and sagittal views. The brain, contained in and protected by the skull and suspended in cerebrospinal fluid, is one of the most important and complex organs in the body. Radiology department, rijnland hospital leiderdorp, the netherlands.