33+ Lung Segments Ct Anatomy

Figure 6 from automatic segmentation of pulmonary segments from volumetric chest ct scans.

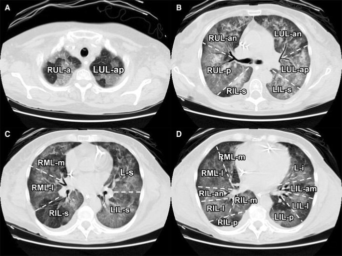
33+ Lung Segments Ct Anatomy. Each bronchopulmonary segment has its own (segmental) bronchus and arterial supply.6 segments for the left and right lung are shown in the table.4 the segmental anatomy is useful clinically for localising disease processes in the lungs.4 a segment is a discrete unit that can be. A ct was performed on a healthy subject, with an axial enhanced acquisition with different windows as the cursor is moved over an anatomical area of the lung parenchyma, the segment is highlighted and labeled:

Https Ieeexplore Ieee Org Iel5 42 4806303 04781572 Pdf
Https Ieeexplore Ieee Org Iel5 42 4806303 04781572 Pdf from
The couinaud classification of liver anatomy divides the liver into eight functionally indepedent segments. We think this is the most useful anatomy anatomy is the amazing science. We hope you will use this picture in the study and.

In this lung anatomy tutorial we take a look at the topography of the lungs, lung lobes, surfaces, fissures and the air pathway.

Start studying lung segment anatomy. Not only lung segment anatomy, you could also find another pics such as right lung lobes anatomy, anatomy lobe lung segments, lung segments ct anatomy, human anatomy lung lobes, left lung lingula anatomy, lung bronchi anatomy, real lung anatomy. Abstract—lung segmentation in computerized tomography (ct) images is an important procedure in various lung disease diagnosis. The couinaud classification of liver anatomy divides the liver into eight functionally indepedent segments.