23+ Elbow Anatomy Xray Pediatric

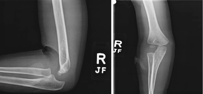
The evaluation of pediatric elbow radiographs in the setting of acute trauma may be challenging for many emergency department physicians, orthopedic surgeons, and radiologists.

23+ Elbow Anatomy Xray Pediatric. Elbow examination by dhananjaya sabat 19604 views. Posted by radiologypics ⋅ april 9, 2013 ⋅ leave a comment.

1
1 from
Diagnostic difficulties stem both from the complex developmental anatomy of the elbow and from significant differences. Posted by radiologypics ⋅ april 9, 2013 ⋅ leave a comment. The arm also referred to as the upper limb is connected to the chest by the shoulder joint.

It is closely applied to the humerus, as shown below.

At first, the elbow seems like a simple hinge. The evaluation of pediatric elbow radiographs in the setting of acute trauma may be challenging for many emergency department physicians, orthopedic surgeons, and radiologists. The humeroulnar, humeroradial, and proximal radioulnar joints. Along with the necessary skills, anatomy is the key to consistent results in open and.